Clínica Hioko - Saúde e Estética Odontológica

Prótese Dentária / Protetor Bucal Esportivo / Clareamento Dental / Facetas de Porcelana / Cirurgia Odontológica / Implante Dentário

Enviar WhatsApp

Rua Carlos Rizzini, 121 - Jardim das Nações

     (12) 99199-2088(12) 99199-2088

Ao contatar nosso anunciante, informe que viu no Taubaté Online!

Galeria de Fotos

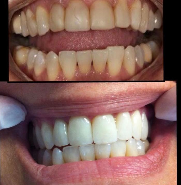
Descrição de Clínica Hioko - Saúde e Estética Odontológica

Clínica Hioko, referência em saúde bucal e estética orofacial em Taubaté e região.

Aqui, aliamos tecnologia de ponta, técnicas modernas e uma equipe altamente especializada para oferecer um atendimento humanizado, preciso e de excelência em odontologia.

Nosso compromisso é com o cuidado integral.

Atendemos desde os casos mais delicados da odontogeriatria, garantindo atenção especializada aos pacientes da terceira idade, até os procedimentos mais avançados da odontologia estética, sempre com foco na saúde, bem-estar e autoestima de cada pessoa.

Cada tratamento é, cuidadosamente planejado, respeitando a individualidade de cada paciente.

Nosso ambiente foi pensado para proporcionar conforto, acolhimento e tranquilidade em cada visita.

Horário de Funcionamento:

Horário: Fechado agora

Onde nos encontrar Traçar Rota


Visando cumprir o Código de defesa do Consumidor em seu artigo 37, informamos que as imagens e informações expostas no anúncio são de responsabilidade exclusiva do anunciante. Todo o conteúdo divulgado respeita as diretrizes da Lei de Proteção de Dados.